Neuropatía Periférica: cómo identificar sus síntomas y evitar confusiones con otras enfermedades
La Neuropatía Periférica es una condición que afecta los nervios fuera del cerebro y la médula espinal, provocando diversos síntomas en el cuerpo. Esta...
Académica de UDLA investiga la radiación solar UV y su potencial impacto en el...
La radiación ultravioleta (RUV, 200-400 nm) representa un factor ambiental de riesgo que impacta negativamente en la salud humana y los ecosistemas, debido...
Suplementación proteica con lácteos es clave para prevenir la pérdida progresiva de masa muscular
Expertos destacan la facilidad de incorporación de productos como los yogurt y quesos en la dieta diaria y su efectividad cuando se combina con...
Laboratorio de Biología Molecular de Hospital de Coronel ha analizado más de 1.700 muestras
El nuevo centro analiza un panel de virus respiratorios y, además, está en análisis el implementar estudios para infecciones de transmisión sexual.
Exámenes de Sars-Cov-2, Metapneumovirus,...
El aumento de centros PET/CT en Chile y la necesidad de aplicar los estándares...
Dr. Horacio Amaral, director médico de PositronMed.En las últimas décadas, Chile ha experimentado un incremento significativo en la cantidad de equipos PET/CT, pasando de...
Cáncer de colon y recto en aumento: conoce las señales de alerta
En Chile, la enfermedad figura como el segundo cáncer más frecuente, y se estima que será el de mayor incidencia y crecimiento para...
Declaración Venta de Langostas Vivas en Supermercado
Comisión Nacional de Bienestar Animal, Colegio Médico Veterinario de Chile – Colmevet
En el marco de la discusión sobre la venta de langostas vivas en...
Ley Cenabast cierra el primer trimestre de 2025 con la mayor venta de medicamentos...
Este aumento en la venta de medicamentos en comparación al mismo periodo de años anteriores refleja que las personas que habitan en Chile...
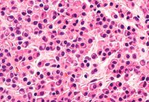
Mieloma Múltiple: avances en tratamientos y la necesidad de opciones para pacientes en tercera...
En el evento “Myeloma Update”, especialistas resaltaron la importancia de mejorar el acceso a tratamientos innovadores como los anticuerpos biespecíficos, que han demostrado...
En 2050 las personas mayores de 60 años se duplicarán: “Urge mejorar el cuidado...
El maltrato en residencias y poca fiscalización son una de las principales preocupaciones que aquejan a expertos respecto al envejecimiento y la vulnerabilidad de...






















